Especificaciones técnicas
Peso y dimensiones
Dimensión:
-
114x53x30mm
Peso:
Batería y conectividad
Sistemas compatibles:
-
iOS, Android, Windows
Tipo de WiFi:
-
802.11n/2,4G/5G
Energía:
-
2 baterías de litio recargables de alta capacidad 3.8 V, 2600 mAh con tiempo de carga de 3~4h
Duración de carga en funcionamiento: 4h de uso continuo
Lugares de aplicación
-
• Cardíaco
• Abdomen
Instrucciones de aplicación
-
• Inspección de emergencia : sala de emergencias, ambulancia, UCI, primeros auxilios, rescate en el campo de batalla.
• Examen preliminar : inspección de sala, examen clínico primario, examen médico, examen de salud, atención domiciliaria, planificación familiar, etc
Principales características
-
• Pantalla: Pantalla de teléfono o tableta
• Tipo de sonda: Transductor Phased Array + CWD
• Ángulo de escaneo: 80°
• Frecuencia: 2 - 3.5 MHz
• Modo de escaneo: B, B+B, B+M ,Color, CWD, PW/CW, PDI, B+Color+PW/CW
• Profundidad de visualización: 90~240 mm
• Longitud: 25mmx16mm
• Ajuste de imagen: B GN(Ganancia), Color GN(Ganancia), D(Profundidad), ENH(Enhancement), DR(Rango dinámico), H(Armónico), Enfoque
• Medida: B: Longitud, Área/Circunferencia, Ángulo, Trazado, Distancia, B+M: Ritmo cardíaco, Tiempo, Distancia, LVID( LVIDd, LVIDs, EF, SV) B+PW/CW:Velocidad, Ritmo cardíaco(2), S/D
• Función de asistencia para pinchazos: Línea de guía de punción en el plano, línea de guía de punción fuera del plano, mejora de la aguja
• Velocidad de fotogramas de la imagen: 18~24 / segundo
• Cinplay: >50s
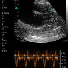
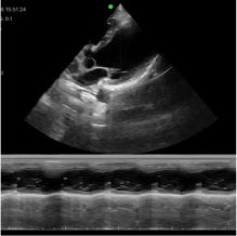
Explorando el poder del Continuous Wave Doppler
El Continuous Wave Doppler es una tecnología innovadora que permite medir con precisión el flujo sanguíneo en tiempo real. Utilizando ondas ultrasónicas, nuestro transductor POCUS emplea esta avanzada técnica para proporcionar datos detallados y fiables sobre la circulación, mejorando así la precisión de las mediciones.

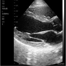
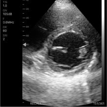
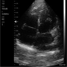
Imágenes de la vida real
Nuestros dispositivos reproducen una excelente calidad de imagen.
Diseño a prueba de agua
- Con el fin de evitar infecciones cruzadas, hemos diseñado especialmente todo el sellado del dispositivo, haciendolo fácil de limpiar y desinfectar.
- Puede reducir los accidentes médicos causados por infecciones cruzadas, protegerte a ti y a tus pacientes, y reducir los gastos clínicos.
Ultrasonido Inteligente
- Los dispositivos Mediexpert® utilizan software de última generación para mejorar la precisión y eficiencia de los exámenes de ultrasonido.
- El software inteligente puede ayudar a los médicos a diagnosticar enfermedades más rápidamente y con mayor precisión.
MEJORA TU FLUJO DE TRABAJO
Con los complementos perfectos para tu ultrasonido

Software fácil de usar
- Puede instalar la aplicación en su propio dispositivo personal al igual que su iPhone o iPad.
- Arranque en un segundo y entre en estado de funcionamiento inmediatamente.
- Operación simple, curva de aprendizaje corta para personas sin experiencia en ultrasonido.
Descarga la aplicación para:
Conoce el precio





